Your Best Choice for Dental Care
Discover the difference yourself: experience the assurance of a smile that looks and feels terrific!



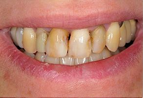
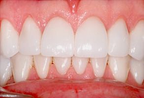
BeforeAfter



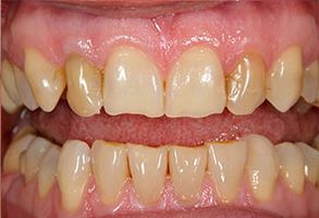
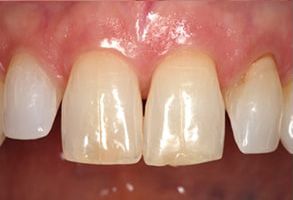
BeforeAfter



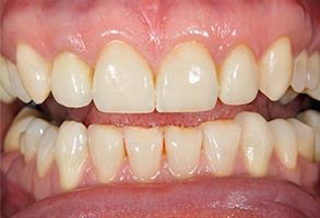
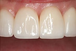
BeforeAfter



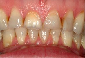
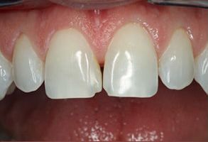
BeforeAfter



BeforeAfter



BeforeAfter



BeforeAfter
Happy Patients
808080%
Perfect Ratings
808080+
